Trauma & Orthopaedic Surgery
Bridging the gap: First-cycle results of a multi-centre NHS survey on junior doctors’ confidence in managing acute orthopaedic emergencies
By Hatem Hussein, Ahmed Shalaan, Mohamed El-Gamal, Mohamed Wahb and Mohamed Hash...
read more
Managing complications and complaints
By Julie Kohls
Levelling up: How the 'games area' optimises post-operative care in an evolving NHS
Runner up in the 2024 BOA Medical Student Essay Prize
"But first, block the hip": Evaluating hip fracture care using the HQO hip fracture quality standard leads to improved fascia iliac compartment block practices
Runner up in the 2024 BOA Medical Student Essay Prize
Pulling up our socks: Improving the management of mechanical thromboprophylaxis in an orthopaedic ward
Runner up in the 2024 BOA Medical Student Essay Prize
GIRFT national guidelines for cauda equina syndrome (CES) – a guaranteed success?
Winner of 2024 BOA Medical Student Essay Prize
The robotic revolution: The future of orthopaedic surgery
By Nick Clement
Establishing the top 10 priorities for future research in traumatic brachial plexus injuries – A James Lind Alliance Priority Setting Partnership
By Kunaal Motreja, Matthew Wilcox, Tom Quick and Hazel Brown
New National procurement which will impact on future contracting across the NHS
Across the NHS, there is a desire to adopt best in class products, take up innov...
read more
Anterior cruciate ligament injuries in netball: the elephant in the room - Part 3
By Wahid Abdul and Angus Robertson
Anterior cruciate ligament injuries in netball: the elephant in the room - Part 2
By Wahid Abdul and Angus Robertson
Anterior cruciate ligament injuries in netball: the elephant in the room
By Wahid Abdul and Angus Robertson
How to tackle the increased rate of ACL injuries in women’s football
By Morgan Bailey and Nathaneal Ahearn
A tipping point to improve radiation safety in orthopaedics?
By Hannah Sevenoaks
Surgical hand hub – safe, efficient and sustainable
By Shamim Umarji
Improving wrist injury pathways by developing a complex intervention
By Benjamin Dean, Chris Little, Ashley Scrimshire, Amy Grove and Tim Stephens
For everything there is a season and a time to every purpose
By Christopher Wilson
Patient Reported Outcome Measures (PROMs) – the who, what, where and why now?
By Alex H Matthews and Jonathan P Evans
The Indecision Grid
By Sunil Auplish
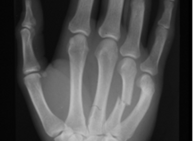
Hand and wrist fractures: The ‘SBCDS’ approach
By Liam Donnelly, Matthew Pritchard, Natalie Tao and Phil Storey
Rationing in orthopaedic surgery
By Lucy Reason and Jonathan Phillips

























